Here are some interesting x-rays.
So one day in the office, an older patient comes in and says she had a left rotator cuff repair by Dr. Kishmeintookus (not his real name, of course) and she has had pain and been unable to move her shoulder since surgery. Therapy had been causing pain and the therapist did not seem to know why she was not getting better. I took some simple x-rays and found the following.

The above x-rays show that the metal anchors have pulled out of the bone and are sitting in the joint.
This points out the importance of having good bone and tendon of one is to consider an arthroscopic rotator cuff repair. Did the tendon fail to heal and did the anchors pull out due to weak tendon, weak bone, tear size, technique issues, patient compliance or therapy practices? No way to know.
I suspect that Dr. Kishmeintookus did not really examine the patient and certainly did not x-ray the patient. If he had he would have found that the patient’s rotator cuff repair had failed. I suspect that she never really had a fixable rotator cuff, since it had been less than a year since her repair. She also had a “pseudoparalytic shoulder”. A “pseudoparalytic shoulder” is a shoulder that appears paralyzed but, in fact, is unable to move due to a massive rotator cuff tear and not true paralysis or nerve injury.
In an effort to relieve this patient’s pain, I took her to surgery to remove the metal anchors arthroscopically. The cuff was unfixable. We knew that from the x-rays.
With the anchors removed, the pain was improved, but she is unable to lift the arm. The only way to recover function in this case is to perform a reverse shoulder replacement.
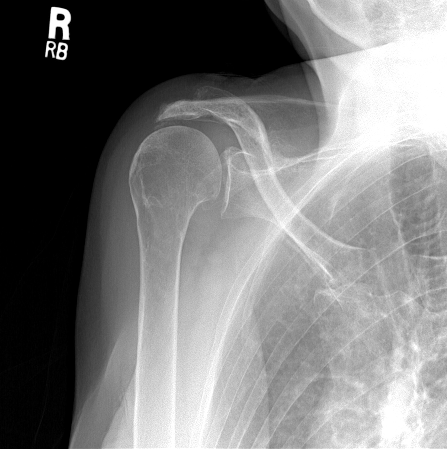
Below are the patient’s x-rays of the other shoulder taken at the same visit. What we see here is that the humeral head (the ball) is not in the center of the glenoid (the socket). It has moved upward out of the socket as a result of a massive chronic rotator cuff tear. If there were any cuff that could be fixed, it would not heal and would lead to a poor outcome.
This is another case that could benefit from a reverse should replacement if she had pain and an impairment that bothered her. The good thing is that this patient does not have any pain in her right shoulder. She has about 50% of a normal range of motion but has good function. I would leave well enough alone.
Thanks,
JTM, MD




